Rambam's Pediatric Neurosurgery: A Comprehensive Overview
- Mony Benifla
- 4 באפר׳
- זמן קריאה 3 דקות
Pediatric neurosurgery is a specialized field that addresses neurological disorders in children, ranging from congenital anomalies to traumatic injuries. At the forefront of this field is Rambam Health Care Campus, a leading medical institution in Israel known for its advanced techniques and compassionate care. This blog post will provide a comprehensive overview of the pediatric neurosurgery services offered at Rambam, highlighting their innovative approaches, patient care philosophy, and the impact of their work on young patients and their families.

Understanding Pediatric Neurosurgery
Pediatric neurosurgery involves the diagnosis and treatment of neurological conditions in children. This can include:
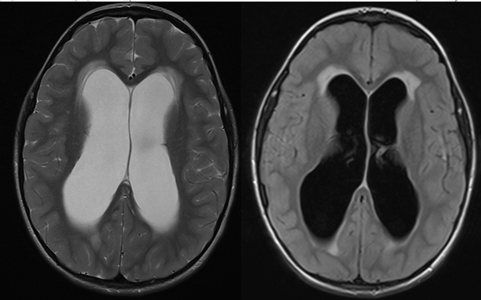
Congenital malformations: Conditions present at birth, such as spina bifida or hydrocephalus.
Tumors: Both benign and malignant tumors that can affect the brain or spinal cord.
Trauma: Injuries resulting from accidents that may require surgical intervention.
Epilepsy: Surgical options for children with severe epilepsy that does not respond to medication.
The complexity of these conditions requires a specialized approach, as children's brains and bodies are still developing. This makes pediatric neurosurgery distinct from adult neurosurgery.
Rambam's Approach to Pediatric Neurosurgery
Rambam Health Care Campus is renowned for its commitment to providing high-quality care tailored to the unique needs of children. Their pediatric neurosurgery department employs a multidisciplinary team of experts, including:
Neurosurgeons: Specializing in surgical interventions for neurological disorders.
Pediatricians: Focusing on the overall health and development of children.
Nurses: Trained in pediatric care to ensure comfort and safety during procedures.
Rehabilitation specialists: Assisting in recovery and rehabilitation post-surgery.
Innovative Techniques and Technologies
Rambam is equipped with state-of-the-art technology that enhances surgical precision and patient outcomes. Some of the advanced techniques used include:
Minimally invasive surgery: Techniques that reduce recovery time and minimize scarring.
Neuro-navigation systems: Allowing surgeons to visualize the brain in real-time during procedures.
Intraoperative imaging: Providing immediate feedback during surgery to ensure optimal results.
These innovations not only improve surgical outcomes but also enhance the overall patient experience.
Patient-Centered Care Philosophy
At Rambam, the focus is not solely on the surgical procedure but also on the holistic care of the child and their family. The hospital emphasizes:
Family involvement: Encouraging parents to be active participants in their child's care journey.
Emotional support: Providing psychological support for both patients and families to cope with the stress of medical procedures.
Education: Offering resources and information to help families understand their child's condition and treatment options.
This comprehensive approach ensures that families feel supported and informed throughout the process.
Success Stories and Case Studies
Rambam's pediatric neurosurgery department has a track record of successful outcomes. Here are a few notable case studies:
Case Study 1: Treatment of Hydrocephalus
A young patient diagnosed with hydrocephalus underwent a minimally invasive procedure to insert a shunt. This intervention significantly improved the child's quality of life, allowing for normal development and activities.
Case Study 2: Brain Tumor Removal
A child with a brain tumor received a combination of surgery and follow-up care at Rambam. The surgical team successfully removed the tumor, and the child is now in remission, attending school and participating in sports.
These stories highlight the impact of Rambam's pediatric neurosurgery on the lives of young patients and their families.
The Importance of Research and Development
Rambam is also committed to advancing the field of pediatric neurosurgery through research. Ongoing studies focus on:
Improving surgical techniques: Researching new methods to enhance safety and efficacy.
Understanding neurological disorders: Investigating the underlying causes of conditions affecting children.
Long-term outcomes: Studying the long-term effects of surgical interventions on children's development.
This commitment to research ensures that Rambam remains at the cutting edge of pediatric neurosurgery.
Collaborations and Community Engagement
Rambam actively collaborates with other medical institutions and organizations to improve pediatric care. These partnerships facilitate knowledge sharing and the development of best practices in pediatric neurosurgery.
Additionally, Rambam engages with the community through educational programs and outreach initiatives. These efforts aim to raise awareness about neurological disorders and promote early diagnosis and treatment.
Conclusion
Rambam Health Care Campus stands out as a leader in pediatric neurosurgery, combining advanced technology, a compassionate care philosophy, and a commitment to research and community engagement. Their multidisciplinary approach ensures that young patients receive the best possible care tailored to their unique needs. As they continue to innovate and improve outcomes, Rambam remains dedicated to supporting children and families on their journey to recovery.
For families facing the challenges of pediatric neurological disorders, seeking care at a specialized institution like Rambam can make a significant difference. If you or someone you know is in need of pediatric neurosurgery, consider reaching out to Rambam for expert guidance and support.



תגובות